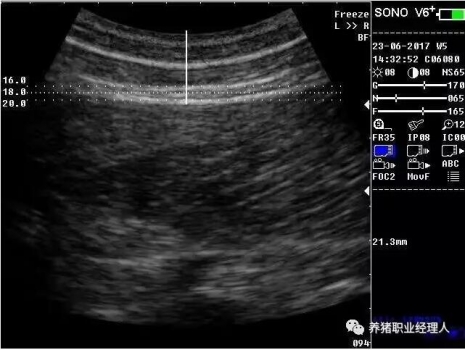
歐美等發達國家每年每頭母豬提供斷奶仔豬數PSY超過25頭,而國內到去年勉強才超過20頭,我們飼養的豬只品種與國外差別并不大,究竟是什么原因導致國內母豬生產性能上不來呢?據筆者初步調查研究,問題可能出在我們對母豬體況評定方法上。 國內現行的母豬體況評分是由評分員根據經驗目測母豬體況并打分,但是人為的母豬體況評分并不能準確反映豬群總體肥度的背膘水平,不同的評分員會對同一頭母豬的體況會打出不同的分數,即使是同一評分員,在不同時間也可能對同一頭母豬打出不同的分數。統計表明,無論一個豬群中總體母豬群的體況如何,評分往往在1.5 - 4.0的范圍內,特別集中在2-3.5分之間,這說明使用目測評分存在較大的人為誤差。對根據體況評分確定飼喂水平的做法,更多的是依靠個人的飼養經驗,并無準確依據。 國內對母豬的飼喂量往往就是根據存在較大誤差的體況評分來確定的。體況評定結果不同,母豬的給料量自然就不同。給分過低往往易導致妊娠期飼喂量過大母豬偏肥,哺乳期母豬采食量上不去,母豬奶水不足或出現乳汁中脂肪過多,造成仔豬15~18天左右拉稀嚴重。生產上往往妊娠母豬供料量的微小差異會導致母豬體增重和背膘水平的巨大差異,這是國內母豬生產性能低下的一個很重要的原因。 那究竟有沒有一個科學的依據來判定母豬體況并據之確定母豬的飼喂水平呢?有,那就是母豬P2點背膘。P2點背膘是國際養豬業通用的一個基礎數據,是指豬最后一根肋骨外切線距背中線6.5厘米處的背膘厚度。通過對母豬的P2點背膘厚度進行測定,以數字化的方法來對母豬體況進行測定可以減少不必要的誤差。今天重點談一談母豬背膘測定方面的內容。 一、背膘厚度 正常情況下,母豬背部有2-3層脂肪,在生長前期,母豬背部的脂肪一般儲存在靠外側的2層,只有在生長后期才會出現第三層脂肪的沉淀。母豬背膘厚度正常范圍一般在10-25毫米,背膘越厚表示母豬越肥,背膘越薄表示母豬越瘦。背膘厚度最佳值為16-22毫米,背膘過厚或者過薄都會導致母豬繁殖性能下降。 因為品種、飼養管理、飼料營養、地域差異,母豬的背膘厚度標準會有一定區別,母豬各階段背膘厚度參考見下表。 1、后備母豬各階段背膘 2、經產母豬各階段背膘 4、背膘儀的顯示說明 二、背膘測定的位置 測定背膘部位為P2點位置,P2點位于最后一根肋骨的外切橫截面,距離背中線6.5厘米處,背中線兩邊對稱取點都為P2點。確定P2點較便捷的方法是用食指沿著腹部側面按壓并向前移動找到最后一根肋骨,同時用大拇指指向母豬脊椎背中線,取6.5厘米處的位置即為P2點。 P2點標準的位置 三、背膘測定的時間 背膘測定的時間與母豬的體況評分相同,通常在斷奶當天、38天、100天、上產床當天進行測量;后備母豬還可以在150日齡進行一次測量,評估后備母豬的背膘生長情況。背膘測定時間的設定原則是將背膘監控與母豬的飼養管理相結合,通過調整營養及飼喂量及時調整母豬背膘以達到理想的范圍。 四、背膘測定與體況評分之間的對應關系 背膘測定與母豬的體況評分,都是對母豬脂肪覆蓋程度的評估方法,目的都是為了保證母豬在整個繁殖周期中擁有良好的體況,背膘測定與體況評分是相互補充和對應的一項管理技術,相輔相成。背膘測定可以顯示數值,更為直觀,是定量評判;體況評分是結合評分員的“觸覺+視覺”來判斷母豬的體況,是定性評判。在實際生產中,可將兩種方法相結合起來運用,可以大大方便我們在實際生產過程中的管理。 1、背膘測定與體況評分的關系 2、體況評分與背膘厚度 五、背膘測定的生產操作步驟 1、核對好母豬信息 測定母豬背膘之前,首先要查看母豬的配種卡,核對母豬耳號和配種日期,了解母豬目前的妊娠時間。在母豬妊娠階段,一般只在配種后38天和100天對母豬進行背膘測定。在實際測量過程中,為了保證P2點位置的準確,最好是由同一個人進行操作。 2、找準背膘測量P2點 首先用手沿著母豬腹側從后面前移動找到母豬最后一根肋骨,注意如果母豬偏肥手指需要稍微用力按壓皮膚才能更好摸到肋骨。 找到最后一根肋骨后,再用大拇指按住距離母豬脊椎背中線6.5厘米處的位置即為P2點,此時可以使用記號筆對P2點進行標記。有些豬場直接做好6.5cm寬的鋼筋十字架,可以迅速卡準位置,值得大家效仿。 需要焊接一個標準的“十字架” 3、剃掉P2點處的豬毛 為了避免母豬毛發對測量結果的干擾,使背膘儀探頭與母豬皮膚更好的接觸,需要剃掉測量點上的豬毛。可以使用剪刀或者剃毛器,將P2點的豬毛剃除干凈,并保持P2點位置的清潔。 4、在P2點涂抹清油 在母豬背部P2點處涂上清油,最好在油侵入皮膚一兩分鐘后開始測量,有利于軟化皮膚。 5、測量讀數 打開測定儀開關,把探頭輕輕放在P2點上,慢慢轉動探頭以擠出探頭與皮膚之間的空氣,讀取顯示屏上的數字,并進行記錄。注意,探頭和測量表面必須保持垂直,否則會導致測量數據錯誤,左右兩側的P2點都進行測量,取平均值。 6、準確記錄 準確記錄測量的背膘數值,用醒目的記號標記背膘不合格的母豬,以便調料師或飼養員及時調整母豬飼喂量,盡快將母豬的體況及時恢復到正常范圍;如果背膘不合格母豬頭數超過10%,需要對母豬群近期的飼喂方法及飼料營養進行整體分析和及時調整。 六、生產上背膘測定數值的應用 B超測定背膘值范圍(盛諾維科技提供) 根據P2點背膘實際厚度確定母豬的飼喂管理方案,對于背膘厚度達不到標準的需要加強營養。 1.根據P2點背膘厚度決定后備期飼養管理方案 后備母豬150日齡,體重達100千克,P2背膘厚應為12-14mm,如果不在這個范圍,可以通過營養調控來解決(提高能量濃度,飼喂后備母豬脂肪強化日糧,能量提高200kcal/kg);當背膘厚度超標可以降低飼料配方的能量濃度。 2.根據P2點背膘厚度決定妊娠期飼養管理方案 母豬妊娠階段基本可以分為0-7天、8-37天、38-99天、100-110天、111-分娩等五個階段。妊娠母豬懷孕測定P2點背膘時間點分別是配種、38天、100天、110天等四個時間點。 3.根據P2點背膘厚度決定空懷期飼養管理方案 母豬斷奶時若P2〈14mm,應任其自由采食妊娠母豬料,并每天定時添加合成孕酮類藥物(烯丙孕素,每天按15-20mg的劑量飼喂),當P2背膘達到16mm后,不再添加藥物;若P2>14mm則自由采食妊娠母豬料。 配種時若14mm~16mm,則按標準程序進行飼喂。 母豬妊娠110天時若P2<20mm,不用減料;若P2>20mm,按正常飼喂量的1/2進行飼喂?!?/font> 七、母豬背膘測定過程中的常見問題 1、母豬背膘過薄或者過厚會有什么影響? A、后備母豬150日齡,體重達到100千克,P2點背膘厚應為11-12毫米,背膘厚度低于10毫米和高于14毫米的后備母豬初期期都會延遲。 B、分娩前經產母豬背膘維持在20-22毫米比較合適,如果分娩前背膘厚度大于22毫米,會對產仔和泌乳有不利影響。 C、母豬斷奶時背膘厚度為16-18毫米,有利于斷奶后盡早發情和增加排卵數;如果母豬哺乳期失重過多,母豬背膘降到15毫米以下會導致斷奶后母豬發情延遲,利用年限縮短。 2、斷奶后母豬背膘會如何變化? 在母豬哺乳階段,母豬需要動用自身脂肪儲備用于分泌乳汁提供與仔豬,導致斷奶后母豬背膘厚度大大降低,正常情況下母豬斷奶后背膘厚度會降低3-5毫米,如果高于5毫米,母豬斷奶后就會出現乏情等問題。 檢測背膘位置 3、測量背膘時涂抹清油有什么用處? 在使用背膘儀進行測定時,要在測試部位涂上適量的清油,用于使探頭與皮膚耦合完好,因為背膘儀探頭發出的超聲波無法穿透空氣,要保證探頭與皮膚垂直,同時擠走中間的氣泡。 4、老母豬測量背膘需要注意什么? 由于胎齡大的母豬會存在堅硬的老化皮膚,需要額外地用力才能將探頭和皮膚保持良好接觸??梢蕴甑魷y量點上的豬毛,然后用熱水潤濕皮膚,再上清油使之侵入皮膚,等待一兩分鐘后再開始測量;而年輕母豬的皮膚較軟,可以直接測量。 5、為什么建議場內測膘由同一個人操作? 在同一個豬場,為了保證背膘測定的結果更為準確和一致,每次最好都由同一個人,使用同一臺設備,在同一個位置進行背膘測定操作,這樣可以得到更為準確的測定結果。專人進行背膘測定,也可以更好地對豬群的飼喂情況進行跟蹤。 來源:養豬職業經理人 |




